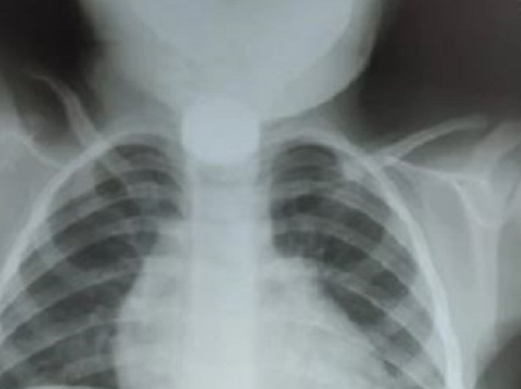
San Pedro del Ycuamandiyú: Es ist immer fatal, wenn ein Kleinkind etwas verschluckt, in diesem Fall eine Münze im Wert von 500 Guaranies.
Ärzten gelang es, im Bezirkskrankenhaus San Pedro del Ycuamandiyú eine Münze im Wert von 500 Guaranies aus dem Körper eines zweijährigen Kindes zu entfernen.
Die Mutter des Betroffenen sagte, ihr Sohn habe den Gegenstand versehentlich verschluckt.
Die Fachkräfte des oben genannten Krankenhauses hatten den 2-jährigen in der Notaufnahme, sodass vor der Extraktion erst die entsprechenden Untersuchungen durchgeführt wurden.
Danach entschied man, dass keine Notwendigkeit für eine Verlegung des Kindes nach Asunción oder in ein anderes, komplexeres Gesundheitszentrum bestünde.
Jorgelina Areco, die Mutter des Kindes, dankte den medizinischen Fachkräften für die geleistete Arbeit.
„Mein 2-jähriger Sohn hat aus Versehen die Münze verschluckt. Ich habe ihn sofort ins Krankenhaus gebracht, wo mir die Ärzte gesagt haben, dass sie ihn behandeln, um sie entfernen, und das haben sie auch getan. Ich bin sehr dankbar, dass sie es hier gemacht haben, da eine Verlegung nach Asunción aufgrund meiner wirtschaftlichen Situation schwieriger ist. Dank Gott und den Fachleuten hat sich mein Sohn bereits erholt“, sagte die Frau.
Dr. Jaime Dunjó, ärztlicher Direktor des Krankenhauses, leitete den Eingriff zusammen mit anderen Fachleuten, mit denen die Situation analysiert und über den Eingriff entschieden wurde.
Wochenblatt / Ultima Hora











Heinz1965
mit dem Verlust von 500 Guaranie hätte die Familie auch gut leben können…. Dafür der Aufwand?